Artículos Científicos de Interés
Uso de la estimulación magnética como herramienta terapéutica contra el cáncer de mama.
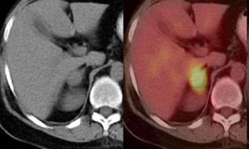
Etimología del cáncer. El término cáncer, es una palabra que se utiliza cotidianamente para referirse a un conjunto de enfermedades…
Uso de la estimulación magnética como herramienta terapéutica contra la enfermedad de Alzheimer.
By NIBBOT MÉXICO octubre 24, 2019 ¿Qué es la enfermedad de Alzheimer? La enfermedad de Alzheimer (EA) es una enfermedad…
Estimulación magnética periférica para tratar diabetes mellitus (DM)
By NIBBOT MÉXICO junio 25, 2019 La terapia de campos electromagnéticos pulsados incrementa la velocidad del flujo sanguíneo. La sangre es el…
Evidencias actuales sobre la estimulación magnética transcraneal y su utilidad potencial en la neurorrehabilitación postictus:
Ampliando horizontes en el tratamiento de la enfermedad cerebrovascular
La estimulación magnética transcraneal repetitiva (EMTr) constituye una realidad terapéutica en la rehabilitación postictus
La estimulación magnética transcraneal repetitiva, una gran esperanza para los pacientes con fibromialgia
By NIBBOT MÉXICO octubre 24, 2019 ¿Qué es la enfermedad de Alzheimer? La enfermedad de Alzheimer (EA) es una enfermedad…




